Caso 02
Ortodoncia y Rehabilitación Oral
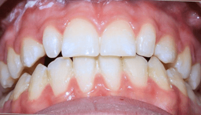
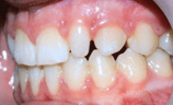
Problema
Este paciente llegó a nuestra clínica buscando mejorar su sonrisa y su mordida.
Dr. Paolo Mangili P. / Dr. Sergio Vásquez C.
Tratamiento
Se realiza un tratamiento conjunto de Ortodoncia y Rehabilitación Oral, además del apoyo de Periodoncia y de Cirugía Maxilofacial.












Pide tu hora
Horario de Atención
Lunes y Jueves: 9.00 a 13.00
15.00 a 19.00
Martes y Miércoles: 9.00 a 13.00
14:00 a 18:00
Viernes: 9.00 a 13.00
14:00 a 17:00
Sábados: 09:00 a 13:00
